![]() | ![]() | ![]() |
|---|
ŞEFFAF PLAKLAR
Telsiz Ortodonti
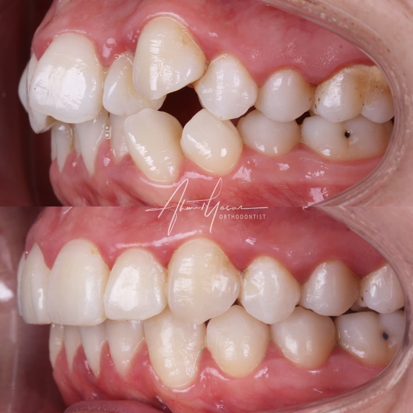
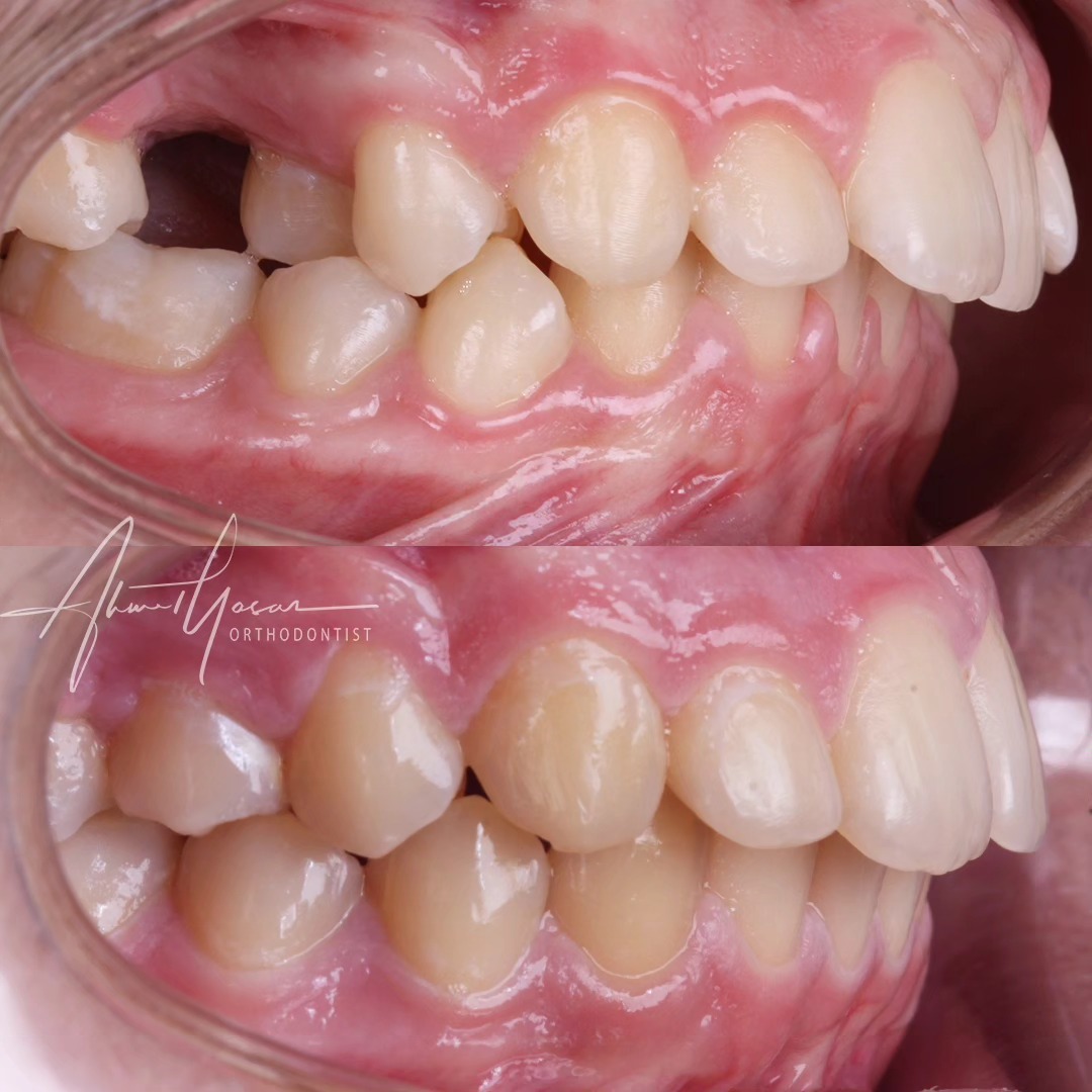
Sabit tel tedavileri hala ortodontide en çok kullanılan tedavi yöntemi olsa da günümüzde teknolojinin de gelişmesiyle beraber takılıp çıkarılabilen şeffaf plaklar tel tedavileri kadar etkili olmaya başladı. Bunun yanında estetik ve konfor gibi pek çok avantajı da beraberinde getirdiği için şeffaf plakların kullanım oranı günden güne artmaktadır.
Daha detaylı bilgiler için aşağıdaki konu başlıklarına göz atabilirsiniz...

ŞEFFAF PLAKLAR NEDİR?

ŞEFFAF PLAK TEDAVİSİNE NASIL BAŞLANIR?

ŞEFFA PLAKLAR NASIL KULLANILIR?
Şeffaf plaklar diş düzensizliklerini (çapraşıklık, aralıklı dişler vs.) düzeltmek amacıyla ortodontide kullanılan tedavi yöntemlerinden biridir. Sanılanın aksine yeni bir tedavi yöntemi değildir ve ilk kez 1945 yılında Dr. Harold Kesling tarafından ufak diş hareketleri için kullanılmıştır. Daha sonra 1997 yılında iki Stanford Üniversitesi öğrencisi, Zia Chishti ve Kelsey Worth; "invisalign" adını verdikleri ilk modern şeffaf plak sistemini kurmuşlardır. Bu sistemde özellikle tedavi gördüğünü gizlemek isteyen yetişkinler hedeflenmiştir.
Şeffaf plak tedavisine başlamak isteyen hastalardan öncelikle tanı ve planlama için kayıtlar alınır. Bu amaçla genel muayene ile birlikte fotoğraflar, röntgenler ve ağız içi dijital tarama alınır. Hekiminiz yapılan analiz ve muayeneye göre birkaç gün içinde üç boyutlu tedavi planı çıkartır. Tedavi planı bilgisayar ortamında hasta ile birlikte incelenir. Bu aşamada tedavi sonucunu görebilmek mümkündür ve hastanın isteğine göre değişiklikler de uygulanabilir. Dişlerin istenilen son hali üzerinde hekim ve hasta birlikte anlaşmaya vardıklarında artık plaklar üretilmeye başlanır ve birkaç hafta içinde tedaviye başlanır.
Şeffaf plak tedavilerinde bir dizi plak kullanılır. Bir plak 7-10 gün kadar kullanıldıktan sonra bir sonraki plağa geçilir. Kullanılacak toplam plak sayısı kişiye göre ve yapılacak tedaviye göre değişir. Şeffaf plaklar takılıp çıkarılabilirler. Yemek yerken ve diş fırçalarken çıkarılırlar. Ayrıca özel günlerde ve görüşmelerde birkaç saatliğine çıkarılabilirler. Ancak günde en az 20 saat kadar kullanılmalıdırlar.
Birkaç ayda bir doktor kontrolüne gelinir. Kullanılan her plak dişleri istenilen yönde hareket ettirir ve son plağın kullanılması ile birlikte istenilen tedavi sonucuna ulaşılır.

AVANTAJLAR

DEZAVANTAJLAR

KULLANILAN PLAK MARKASI ÖNEMLİ MİDİR?
Şeffaf plakların en büyük avantajı estetik olması ve gün içinde fark edilmemesidir.
Şeffaf plaklar çıkarılabildikleri için rahatça yemek yemek ve dişleri fırçalamak mümkündür.
Özel günlerde ve önemli görüşmelerde bir kaç saatliğine çıkarılabilirler.
Ağrı daha azdır ve yanağa batma gibi durumlar yoktur.
Tel tedavilerine göre daha kısa sürer (yaklaşık 6 ay).
Dijital planlama ile birlikte tedavi sonucunu tedaviye başlamadan görebilirsiniz.
Şeffaf plak tedavileri genel olarak estetik ve konforlu bir tedavi seçeneğidir. Ancak doğası gereği bir kaç dezavantajı da vardır.
1. Hasta uyumu önemlidir. Tedavi görenlerin plaklarını günde en az 18-20 saat takmaları gerekmektedir.
2. Takılıp çıkarılabildikleri için ve şeffaf oldukları için kaybolma riski vardır. Plaklar kullanılmadığı zamanlarda kutusunda taşınmalıdır. Plağını kaybeden hastalar hekimi ile irtibata geçmelidir.
3. Vakaya göre değişmekle beraber çoğunlukla tel tedavilerine göre daha pahalıdır.
Günümüzde pek çok şeffaf plak firması bulunmaktadır. Özellikle firmaların plak üretiminde kullandığı teknikler, plağın ana maddesi ve planlamada kullanılan bilgisayar yazılımı, sağlıklı bir tedavi seyri için çok önemlidir. Invisalign dünya çapında en çok kullanılan şeffaf plak sistemidir. 8 milyondan fazla kişi invisalign ile ortodontik tedavi görmüştür.
Bunların dışında tedaviyi belki de en çok etkileyen şey hekiminizin doğru bir planlama kurgulaması ve bunu tedaviye düzgün şekilde yansıtması olacaktır.



UZM. DT. AHMET YAŞAR
2007 yılında Ankara Fen Lisesi’nden mezun olduktan sonra, diş hekimliği lisans eğitimine başlayan Ahmet Yaşar, ortodonti uzmanlık eğitimini Atatürk Üniversitesi’nde yaptığı ortognatik cerrahinin çene eklemine etkilerini incelediği tez çalışması ile tamamlamıştır.
2014 yılından beri ortodonti alanında aktif olarak çalışmakta olup günümüzde Bursa'nın Nilüfer ilçesindeki kliniğinde hastalarına hizmet vermektedir. Evli ve bir kız babasıdır.
BIZE ULAŞIN
Cumhuriyet mah, Balcı Sk. No:2 Ayazmalı Plaza, 16140 Nilüfer/Bursa, Türkiye
0545 90 60 450



































